Le blanchiment des dents permet d'éliminer les taches ou colorations dentaires indésirables et de récupérer un sourir impécable. Il existe plusieurs techniques de blanchiment des dents. Pour les découvrir et rencontrer le traitement qui est fait pour vous, retrouvez sur Multiesthetique.fr de nombreux médecins dentistes réalisant le blanchiment des dents.

Photo du Dr Catherine Dropsy
Un joli sourire est important, de belles dents blanches apportent éclat et luminosité au sourire. En effet, des dents tachées ou abîmées peuvent constituer un véritable complexe et avoir des répercussions importantes sur la vie sociale, tant professionnelle que familiale.
L’AFME explique que plusieurs causes peuvent entraîner une coloration des dents : génétiques, médicamenteuses, traumatismes, consommation de certains aliments, tabac, etc. Comme son nom l’indique, le blanchiment (ou l’éclaircissement dentaire) des dents est un soin destiné au traitement des dents tachées ou colorées pour leur rendre une couleur naturelle.
Afin de retrouver un sourire éclatant, de plus en plus de personnes ont recours au blanchiment des dents, intervention esthétique de plus en plus demandée.

Les dents peuvent jaunir notamment à cause de la consommation de café et de thé
Il y a de multiples causes à la coloration ou aux taches sur les dents : un manque d’hygiène, la consommation de produits tachants (café, thé, tabac, etc.), la perte de vitalité de la pulpe dentaire, une fluorose (excès de fluor), la prise d’antibiotiques type tétracyclines ou l’utilisation de produits d’obturation dentaire.

Selon le Dr Paret, chirurgien dentiste, il y a peu de contre-indications au blanchiment des dents : femmes enceintes ou allaitantes, mineurs, personnes ayant un traitement médicamenteux lourd ou avec une hypersensibilité dentaire. Idéalement, un blanchiment dentaire doit être pratiqué sur une personne aux dents saines (sans caries), avec une bonne hygiène dentaire et ne fumant pas.

Consultation chez le dentiste
Le centre dentaire Labelia rappelle que la chirurgie dentaire nécessite des connaissances techniques précises. Nous vous recommandons donc de vous tourner vers un médecin qualifié. Vous pouvez notamment vérifier que votre médecin est bien inscrit à l’Ordre des Médecins.
Un médecin sérieux et qualifié commencera par faire un examen détaillé du patient et de ses antécédents.

Préparation à un traitement pour blanchir les dents
Afin d’obtenir un résultat de blanchiment dentaire optimal, nous vous recommandons d’avoir une très bonne hygiène bucco-dentaire. Ainsi, l’OMS recommande de se brosser les dents deux fois par jour (matin et soir) pendant trois minutes et d’utiliser du fil dentaire tous les soirs. De plus, le blanchiment ne peut être effectué que dans une bouche parfaitement nettoyer par un proffesionnel, en l'absence de plaque dentaire et avec une gencive parfaitement saine .
En outre, il est conseillé d’avoir une alimentation variée et équilibrée ainsi que de se rendre au moins une fois par an chez le dentiste. Il est également recommandé de ne pas fumer dans les jours ou semaines précédant le traitement de blanchiment.

Photo du Docteur About
Lors de la première consultation, le médecin va établir un diagnostic pour déterminer la teinte des dents mais aussi les causes de la coloration ou des taches.
En fonction des besoins de chaque patient, le dentiste choisira le type de blanchiment à effectuer. Tout d'abord, il est nécessaire de procéder à un nettoyage en profondeur de la cavité buccale et à un détartrage complet. À ce stade, le dentiste utilisera la technique de polissage à l'air, un puissant jet d'eau et de bicarbonate sera passé sur la dentition pour éliminer les taches se trouvant sur l'émail superficiel. La phase suivante (le blanchiment) consiste à décolorer chimiquement la dentine, le pigment qui provoque la coloration des dents.
Les produits utilisés à cette fin sont des gels à base de peroxyde d'hydrogène et de peroxyde de carbamide, qui sont les deux seuls composants certifiés par la FDA, l'agence américaine de contrôle des médicaments. Le dentiste applique le gel sur les dents à l'aide d'un gabarit sur la dentition du patient. Cette technique est connue sous le nom de blanchiment photodynamique. En effet, pour tirer le meilleur parti des propriétés blanchissantes des peroxydes, il est nécessaire d’utiliser des sources de lumière froide, telles que les LED, les lasers ou les plasmas. En règle générale, la séance dure au maximum 45 minutes et n’est pas douloureuse ; le patient peut présenter une hypersensibilité dans les jours qui suivent le traitement.
Dans certains cas, le traitement peut être effectué à la maison. Le médecin vous suggérera l’utilisation d'un kit blanchiment dotée de gouttières. Notez que les produits à usage domestique auront toujours une capacité de blanchiment inférieure à celle des professionnels qui ne peuvent être utilisés que par le médecin.

Traitement ambulatoire pour blanchir les dents
D’après le Dr Cleage, deux techniques sont possibles pour le blanchiment des dents :

Les différentes teintes de dents
En cas de blanchiment chez le dentiste, une séance suffit le plus souvent pour obtenir un résultat satisfaisant. Un traitement ambulatoire (à domicile) peut être prescrit en complément si nécessaire. Dans le cas d’un traitement en ambulatoire, le nombre de séances sera défini par le dentiste en fonction de votre dentition et du résultat que vous souhaitez obtenir.
Concernant la teinte des dents, la marque Colgate explique qu’il n’existe aucun système de référence pour définir la teinte de la dentition. Néanmoins, la majorité des professionnels utilisent un nuancier. Celui-ci est divisé en quatre catégories : marron-rouge, reddish yellow, gris et gris-rouge. Le résultat d’un blanchiment des dents dépend de plusieurs facteurs (hygiène dentaire, hygiène alimentaire, génétique, etc.). Par ailleurs, certains patients restent plus réactifs au blanchiment des dents que d’autres.

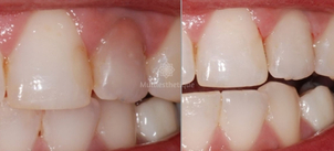
Avant / après un blanchiment dentaire
Il est possible de ressentir de faibles picotements pendant ou dans les minutes qui suivent une séance de blanchiment des dents. Si vous avez choisi un traitement ambulatoire et que vous ressentez des douleurs ou une hypersensibilité, il conviendra de cesser immédiatement le traitement.
De plus, l’Institut Soleriade recommande de ne pas manger dans les 2 à 3 heures suivant le traitement. Il conseille également d’éviter les aliments ou les boissons pouvant tacher les dents dans les 24 heures suivantes (café, thé, tabac, vin rouge, etc.).

Photo de la Clinique Crillon
Les résultats d’un blanchiment des dents sont visibles immédiatement après la séance. Toujours selon le Dr Cleage, les résultats durent de 6 mois à 3 ans. La durée de ces résultats est variable en fonction du type de traitement choisi (en fauteuil ou en ambulatoire), de vos habitudes alimentaires et de votre hygiène dentaire. Il est donc important de suivre les recommandations de l’OMS, même après un blanchiment des dents.
Anon, (2019). [online] Available at: https://www.afme.org/comm_libr... [Accessed 6 Feb. 2019].
Centre Cléage. (2019). Blanchiment dentaire. [online] Available at: http://www.cleage.fr/details-b... [Accessed 6 Feb. 2019].
Docteur Thierry ROUACH. (2019). Questions fréquentes sur le blanchiment dentaire - Docteur Rouach. [online] Available at: https://www.dr-thierry-rouach.... [Accessed 6 Feb. 2019].
France Assos Santé. (2022). En quoi consiste un blanchiment dentaire ? - Interview d'Anne Le Goff, Docteur en Chirurgie Dentaire à Rennes. [online] Available at: https://www.france-assos-sante... [Accessed 28 Jan. 2022]
Traitements les plus populaires
Abdominoplastie
Acide Hyaluronique
Augmentation mammaire
Liposuccion
Verrues
Suivez-nous et laissez-vous inspirer chaque jour